|  |  | 
        
            | Before | After | 
        
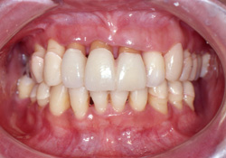
            |  			来院理由何件かの歯科医院をまわり、「総義歯」か「インプラント」でしか治せないと言われ芥川歯科にたどり着かれました。
 歯周病で困っている「 前歯がとび出し、グラグラ動く 」そうです。
診断・外見上と健康上の問題点が組み合わさった状態・重度歯周病によって歯を支えている骨が悪化
 ・歯の周りの骨が弱く、筋肉も衰えはじめている
 ものを噛む動作がスムーズに出来ないで、 噛み合わせが不安定になり、老人のようなアゴになってます。
 口臭がかなりきつくなり、元の顔立ちより「 老けた印象 」に見えます。
 
 歯周病が原因で、歯並びなど変化した結果、「 前歯がとび出し、グラグラ動く 」 のです。
 
  主な治療・ 「歯周病治療」 (エムドゲインを用いた再生療法)・仮歯を入れて、固定
 ・「簡単な矯正具」で目立つズレを修正する(1ヶ月矯正)  →■1ヶ月矯正とは
 ・「歯周病治療」(エムドゲインを用いた、再生療法)
 ・「根管治療」(神経治療)
 ・自分の肌質にあった 美しい歯をかぶせる (冠クラウン)
 
   | 
        
            | 患者様が持っている口まわりの筋肉は、歯周病による歯並びの悪さが原因で、かなり弱っています。「歯周病治療」と、「筋肉を回復させること」が第1におこなう治療です。
 | 
        
            | エムドゲインを用いた、「歯周病治療 再生療法」歯周病治療(初期治療とプラークコントロール指導など)後、次の段階で、この「エムドゲイン」が用いられます。歯が生えてくる時と同じ環境を作りだすことによって、再度骨を歯の周囲に呼び込んで骨を再生させます。
仮歯を作って、本来持っている筋肉を使うようにします顔や歯が正しくおさまる位置まで筋肉レベルを回復させる、治療でもあります。お顔の若返りや、アンチエイジングの観点からも有効な治療です。
とび出した前歯を矯正その後、簡単な矯正をします →■1ヶ月矯正とはこの1ヶ月矯正で、出っ歯(や、反っ歯)の目だつズレを修正します。
 
  歯周病治療 エムドゲインを用いた 「再生療法」歯周病治療は一定期間、注意深く治療し続けます。そうすることで、歯周病で破壊された「骨や組織の再生」をうながします。
 
                
                    
                        |  |  |  
                        |  | 歯槽骨が再生している事がわかります |  | 
        
            | 約1ヶ月後口もとが整ってくると 顔立ちにも変化が出始めます。すると、患者様の希望「なりたい口もと」 「どんな歯にしたいか」 が具体化されてきます。
 
 
 長持ちかつ美しい歯を提供するめに、患者さんの希望を取り入れて、最終的に入れる歯を決定どんなスタイルの歯にするか、患者様の希望を聞きながら、機能面や将来的にも負担のない、ベストな歯を決めます。
 | 
        
            |  |  | 
        
            | 簡単なきょう正器具 (治療途中)
 | 再生療法後 (治療途中)
 | 
        
            |  |  | 
        
            | 治療前 | 治療後 | 
        
            | 「歯周病タイプ」の患者さんには 「清掃しやすい歯」で長持ちを!この患者様は 「歯の上の隙間」を残した方が良いケースです。清掃管理が行き届かず、「歯周病」を再度引き起こすおそれのあるタイプだからです。
 幸い、この方の口もとは笑った時に、歯ぐきの見えない顔だちでしたので、
 患者様の同意に基づき、メンテナンスしやすく、長期的な保存の出来る歯がのぞめます。
 | 
        
            |  |  | 
        
            | 治療後 |  | 
        
            | 「メタルボンド」 おすすめの方 
                歯周病が進行している歯ぐきが見えないタイプ治療する本数・範囲が多い | 「オールセラミック」 がおすすめの方 | 
        
            | 「黒い歯の境い目」を治したい方には、「黒い隙間を埋める治療」をおすすめしております。 →■歯の境い目が黒く見える
 新しく治療した美しい歯を、長持ちさせたい大切に、長期的に使っていただくためです
 
 それぞれの個性を見定め、美しさと、健康を第1に考えたオーダーメイドの口もとを提供していきたいと考えております。
 |